왜 모든 것들은 지나고 나서 후회하는가
새로운 직장으로 이직하기로 한 날. 23년 9월 4일 새벽 아버지가 뇌경색으로 쓰러지셨다.
딱 2년 전, 아버지가 뇌경색 의심증상으로 쓰러지시고 난 후(그때 뇌경색이었다는 것도 지금에서야 알게 된 못난 딸이네) 혹시 몰라 간병보험을 가입하려니 진단 후 2년 정도나 후에 가입이 가능하다고 해서 그러려니 하고 지나온 시간.
보험이 가능한 시간이 되었어도 과연 내가 보험가입을 했을까? 아니다. 내가 그러지는 않았을 것이다.
그저 이제와 아버지가 다시 쓰러지고 나니 보험들려고 했는데 왜 하필 이때 쓰러지셨을까 하는 아쉬움과 절망과 죄스러움이 한데 모여 결국 아무 생각 없는 사람처럼 멍하니 있는 날들이 많아졌다. 무언가를 해야만 한다. 무엇부터 해야 할까?

뇌경색의 전조증상
손 떨림과 딸꾹질.
아버지가 왜 쓰러지셨을까? 뇌경색의 전조증상이 뭐였을까? 왜 나는 알아차리지 못했을까? 같이 살지 않으니 당연히 몰랐다고 누군가는 위로해주어도 내가 조금만 세심했더라면, 충분히 아빠를 병원에 모시고 갈 상황들을 몇 번 포착했다.
그중 첫 번째, 손 떨림.
아빠는 담배를 피우면서 늘 한 손을 피아노 치듯? 키보드를 치듯? 분주하게 손을 움직였다. 그저 걱정이 너무 많은 쇠약해진 노인의 노파심이 불러오는 증상이라고만 생각헀다. "아빠 걱정하지 마, 뭘 그렇게 걱정하는 거야. 그만 불안해해"
젊은 나는 아직 젊다고 여겨왔던 늙어버린 노인의 신체를 이해하지 못했다. 쓰러진 그날에도 다른 모든 신체부위를 움직이지 못하면서도 손만큼은 계속 떨었다. 아빠의 손에서 나의 손으로, 아빠가 내 손을 꼭 잡고 전한 그 불안함 가득한 떨림이 벌써 두 달이 되어가는 지금도 생생히 기억이 난다.
두 번째, 딸꾹질
엄마말로는 딸꾹질이 안 멈춘 것이 3일이라고 했다. "뭐야. 빨리 같이 병원가봐. 나는 일하고 있어서 못 간다고"
일 핑계로 아버지 건강을 미뤘다. 그 깟 며칠의 일당을 위해 나는 아빠의 건강을 팔아버렸다. 그리고 병원을 가라는 나의 말을 엄마는 들어주지 않았고 결국 내가 집에 도착했을 때는 119가 오지 않으면 안되는 상황이였다. 아빠가 평소에 먹는 약 봉투를 챙겼고 당황해서 횡설수설하는 엄마 대신의 구급차에 같이 몸을 실었다. 그 와중에도 아빠는 딸꾹질을 멈추지 못했고 응급실에서도, 잠이 들었다가도, 코 줄을 한 상황에서도, 중환자실에 가서도 이틀 동안 딸꾹질이 멈추지 않았다고 했다.

응급실에서 중환자실, 그리고 일반병실로

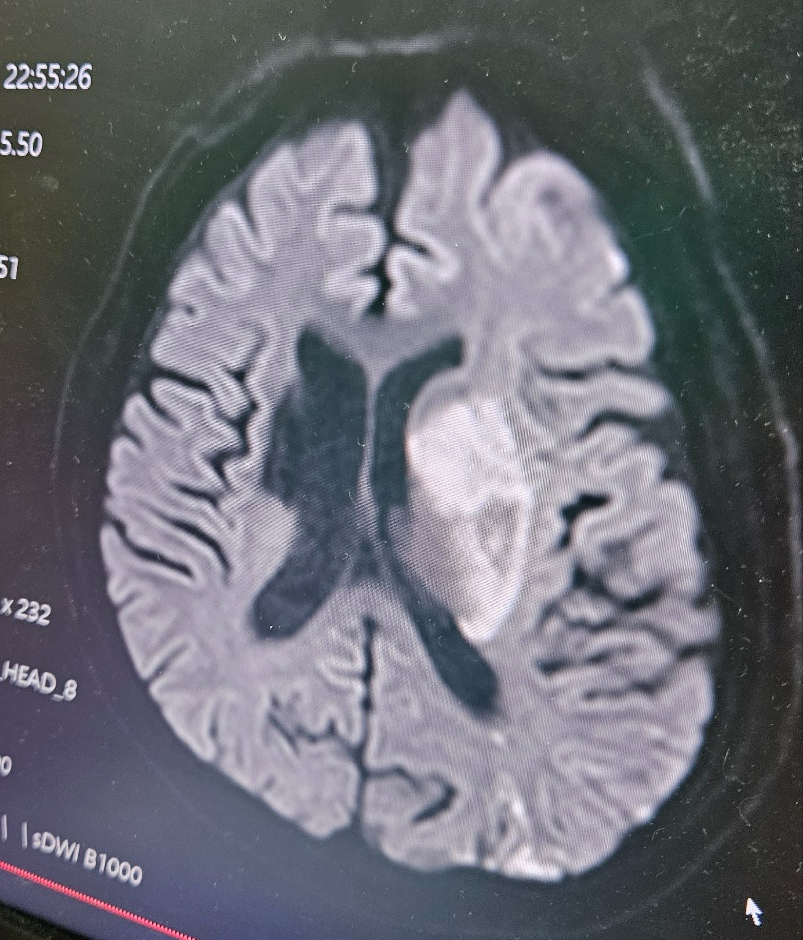
응급실에서 뇌 사진을 보여줬다. 가족들에게 설명을 해야되기에 사진촬영해도 되냐고 물었고, 허락을 받고 사진 촬영을 했다. 가운데 하얀 부분이 뇌경색이 온 부분이란다. 한눈에 봐도 이건 큰일이구나 싶었다. 뇌혈관 MRI도 일반인의 사진은 밤에 불이 켜져있는 도시처럼 밝게 느껴졌는데 아빠의 사진은 점점 어두워지고 있는게 느껴졌다. 그렇게 꼬박 하루를 응급실에서 밤을 새고 출근도 못한 채 언니와 교대를 하고 비몽사몽 이게 무슨일인지 무슨일이 벌어지고 있는건지 생각할 새도 없이 응급실에서만 그 하루 87만원정도의 돈이 나왔다.
그리고 바로 중환자실에 입원하게 된 그날부터 일주일마다 월급만큼 한 돈이 청구되었다.
돈이 무섭다.
입으로 튀어나온 첫마디였다.
돈이 무서웠다. 얼마나 청구될지 모르는 병원비가 무서웠다. 심지어 아빠가 얼마나 병석에 누워계실지 모른다.
그렇게 중환자실에서 한 달, 일반병실로 이제 또 한 달을 채워가고 있다. 엄마가 아빠 간병을 도맡고 나와 언니는 병원비를 충당하기로 하고 간혹 엄마가 손대지 못한 집안일들을 해주러 다녀오고 누가 무엇을 하기로 했든 서로 톱니바퀴처럼 각자의 자리에서 자신의 맡은 바 일을 했다.
병원비 이외의 필요한 것들
병원비만큼이나 부담스러웠던 것들이 생겼다.
기저귀 & 물티슈 & 위생장갑
소변줄을 차고 있을 때는 대변 시에만 기저귀를 교체하면 되는 거라 그리 큰 부담은 아니었는데 소변줄을 빼고 나니 엄마도 미안함이 가득 담긴 문자를 보내왔다. 소변줄을 빼고나니 기저귀 사용량이 많아졌다. 소변기 빼지 말걸 그랬다며. 괜찮다. 지금 기저귀 많이 쓰고 나중에 나으면 어차피 변기 쓸 건데 쓸 때 쓰자. 6인실 병동에 간병인이 아닌 가족은 엄마뿐이었고, 간병인 분들이 엄마에게 간병팁을 많이 알려주셔서 기저귀도 어디가 싸고 좋은지를 알아오면 우린 이렇게 좋은 걸 또 이제 알았네. 고맙네. 하고 주문했다.
재활 휠체어 & 자전거 자물쇠

재활 휠체어가 있다는 것도 아빠가 병원에 입원하시지 않았으면 몰랐을 거다. 그냥 휠체어랑 뭐가 다르다는 건지 병원에서 그냥 대여해 주는 건 줄로만 알았는데 구해와야 한단다. 그제서야 눈에 들어온 것들이 휠체어 마다 사용자의 이름이 적혀있고 따로 병원이름이 적혀있진 않았다. 대여해 오거나 개인적으로 구입한 것들이라서 훔쳐가지 못하게 자물쇠로도 잠가놓는거구나. 이렇게 또 하나 배웠다. 휠체어를 어디서 구해와야 하나. 의료기 상사에서 재활 휠체어는 잔여수량이 없다고 하고 건강보험공단에서도 보조기기 대여 사업을 한다는 것을 찾아내 대여해보려고 했지만 일반 휠체어는 있었지만 재활 휠체어는 없었다. 어찌어찌 우여곡절 끝에 고모한테 우는 소리 했더니 고모의 지인의 지인으로부터 저렴하게 렌탈할 수 있었다.
간병인
엄마가 간병을 할 수 있어서 그나마 다행이지 간병인을 통해서 듣게 된 간병비도 어마 무시하다. 차라리 내가 일 안다니고 간병할게라는 말이 나올 정도의 금액이다. 병원에서 보호자용 식사도 따로 주문을 해두었고 간병인이 필수로 필요로 하는 것들도 준비해주어야한다. (엄마는 매번 커피믹스와 물. 간식용 과자. 제철 과일을 요청했다. 그리고 주변 간병인분들의 도움도 받았던지라 조금 통 크게 사서 보내야 한다. 나눠먹게.) 암요.암요. 다 준비해드릴게요. 간병엄마님. 요새 정말 요양보호사 자격증을 따야 하나 싶다. 24시간 환자와 붙어서 궃은 거 다 해내고 이 돈을 받는다고? 나 못해! 라고 했던 내가 이 돈을 내쳐야 되는 상황이라면 해야 할 수도 있다.
아빠가 퇴원 할 때 까지 또 어떤 걸 해왔는지 어떤 걸 해야하는지 알아봐야겠다.
'인간적인 지극히 인간적인' 카테고리의 다른 글
| 대한항공 마일리지 다양하게 사용하기 (0) | 2023.12.14 |
|---|---|
| 뇌경색, 종합병원에서 재활병원으로 옮기다 (1) | 2023.12.06 |
| 노션을 써보자, 에버노트와의 이별을 준비하련다. (1) | 2023.07.13 |
| 소문난 질문봇 독서광 Bing챗GPT에 홀릭 (0) | 2023.06.21 |
| 빈그릇 증후군?빈접시 증후군? (0) | 2023.03.24 |
